Extra informatie
Veelgestelde vragen
Wij vragen u na de behandeling contant te betalen of te pinnen, zodat wij geen tijd kwijt zijn aan debiteurenbeheer en ons volledig kunnen richten op ons werk achter de stoel. U krijgt direct een factuur mee, die u zelf kunt indienen bij uw zorgverzekeraar als u daar een contract mee heeft.
Ja, als u vóór of ná een behandeling nog vragen heeft, kunt u deze altijd stellen bij de tandarts. De tandarts zal toelichten waarom voor die specifieke behandeling is gekozen.
Als u er met de tandarts niet uitkomt, kunt u informatie inwinnen bij het Tandheelkundig Informatiepunt (TIP). Dit is opgezet door onze beroepsorganisatie NMT. Mocht dit geen oplossing bieden, dan kunt u gebruik maken van de KOM-klachtenregeling waarbij wij zijn aangesloten. Binnen deze regeling zijn er twee mogelijkheden: bemiddeling en formele klachtbehandeling, wat resulteert in een uitspraak.
Afwijkende tongligging in rust
Hierbij is de positie van de tong afwijkend. De tong ligt niet achter de tanden tegen het gehemelte, maar op de mondbodem, tegen of tussen de tanden of te ver achterin de mond. Dit kan de stand van de tanden en kiezen en/of de vorm van de kaken negatief beïnvloeden.
Lipgewoontes
Foutieve lipgewoonten
Onder foutieve lipgewoonten wordt liplikken en lipzuigen verstaan. Deze afwijkingen komen veelal voor bij mensen die door de mond ademen. Doordat de lippen droog worden tijdens het mondademen wordt het veelal als “prettig” ervaren om de lippen te bevochtigen met de tong. Lipzuigen is meestal het gevolg van liplikken.
Nagelbijten
Tijdens het nagelbijten schuift de onderkaak naar voren en ontstaat er teveel spanning in de kaakgewrichten, waardoor pijnklachten en overbelasting van spieren in het mondgebied het gevolg kunnen zijn.
Bovenstaand afwijkend mondgedrag kan leiden tot afwijkend slikken.
Habitueel mondademen
Habitueel betekent “gewoonlijk”. Bij habitueel mondademen is de gewoonte ontstaan om door de mond te ademen terwijl de neus voldoende doorgankelijk is. Gevolgen van habitueel mondademen kunnen zijn een terugkerende infectie in de keel of van de amandelen of zelfs een middenoorontsteking. Daarnaast heeft habitueel mondademen invloed op de groei van kaken, tanden en kiezen.
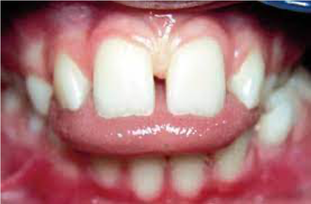
Open mondgedrag
Normaal gesproken is de mond gesloten, rust de tongpunt tegen het gehemelte achter de boventanden en wordt er door de neus geademd. Wanneer de mond gedurende de dag regelmatig open is in rust (bijvoorbeeld tijdens televisiekijken), is er sprake van open mondgedrag. Vaak ligt de tong dan slap onder in de mond en drukt de tong met grote kracht tegen de tanden aan, waardoor de tanden naar voren worden geduwd. Daarnaast is er veelal sprake van slappe mondspieren en mondademen. Wanneer dit probleem niet behandeld wordt, is er kans op incorrect articuleren (= niet duidelijk en nauwkeurig uitspreken van woorden en klanken, zoals bij slissen), een afwijkende groei van de kaken, tanden en kiezen en een verhoogde kans op oorproblemen. (Doordat de lucht niet meer bevochtigd wordt in de neus, door minder spierspanning van de ademhalingsspieren, door meer snotvorming en bacteriegroei in de neus (slijm wordt niet meer naar achteren gezogen). Er wordt minder geslikt waardoor vocht zich ophoopt in de oren waardoor meer oorontstekingen).
Afwijkend kauwen
Onder afwijkend kauwen wordt het smakken, het tegelijkertijd aan twee kanten kauwen en het verkeerd afbijten van voedsel verstaan. Dit kan leiden tot een verstoord evenwicht van de spieren in en rond de mond.
De Logopedist
De logopedist is een paramedicus. Logopedisten signaleren, onderzoeken, diagnosticeren en behandelen stoornissen op de gebieden van stem, spraak, taal, gehoor en eten en drinken. Logopedie is direct toegankelijk en de behandelingen worden door ziektekostenverzekeraars vergoed. Om de gevolgen van afwijkend mondgedrag te beperken, is het belangrijk dat er vroegtijdig behandeld wordt. Het is belangrijk dat de oefeningen die door de logopedist worden aangereikt, thuis geoefend worden om tot een bevredigend resultaat te komen.
Afwijkend mondgedrag
In deze folder informeren we u over verschillende vormen van afwijkend mondgedrag. Tevens worden oorzaken en gevolgen hiervan beschreven. Daarnaast vindt u ook informatie over de logopedist.
Duim, vinger- en/of speen zuigen
Veel kinderen duimen of zuigen weleens op hun vinger(s). Wanneer een kind dit op 1-jarige leeftijd nog steeds doet, is er sprake van afwijkend mondgedrag. Vanaf dat moment kan het duimen, zuigen of spenen een negatieve invloed hebben op de stand van de tanden en de vorm van de kaak. Daarnaast kan de kracht van de spieren in en rond de mond afnemen.
Door het zuiggedrag komt het regelmatig voor dat de spieren in en rond de mond verslappen, waardoor habitueel (= tot gewoonte geworden) mond ademen, open mondgedrag en afwijkend slikken kan ontstaan. Dit kan leiden tot een afwijkende vorm van het gebit dat incorrect articuleren (= duidelijk en nauwkeurig uitspreken van woorden en klanken) tot gevolg heeft. Hierbij kunt u denken aan het praten met de tong tussen of tegen de tanden (bijvoorbeeld slissen).
Afwijkend slikken
Er wordt gesproken van afwijkend slikken wanneer de tong tijdens het slikken tegen de tanden en/of kiezen aan duwt of wanneer de tong tussen de tanden en/of kiezen door komt. Per dag slikken we ongeveer 2000 keer. Wanneer de tong elke keer met grote kracht tegen of tussen de tanden en/of kiezen komt, zal dit invloed hebben op de vorm van het gebit.
